Semana 9 de embarazo. (Sdg9w0d)¡Mami embarazada!
Tu bebé ya patea y se mueve muchísimo!
Ahí está!! Flotando en el líquido amniótico!!
Tu bebé ahora puede llevarse las manos a la cara o estirar las piernas y chuparse el dedo del pie.
El cerebro continúa desarrollándose. La corteza se diferencia, los hemisferios se aíslan uno del otro y del bulbo raquídeo. El sistema nervioso ya está completamente dividido en central (lo que pertenece generalmente al cráneo) y periférico (los nervios que van a las extremidades partiendo de la columna vertebral).
La cabeza del bebé ya es casi “redonda”, pero sigue siendo desproporcionadamente grande en relación a su cuerpecito. A pesar de que sus ojos están “sellados”, (cubiertos por sus párpados y aún no puede abrirlos) tu bebé puede empezar a percibir la luz a través de ellos.
Adicionalmente, esta semana, el diafragma se está formando (una membrana muscular que separa la cavidad torácica de la cavidad abdominal). También se desvanece gradualmente el cuerpo lúteo y transfiere sus funciones a la placenta.
¿Qué se puede ver en la ecografía/ultrasonido?
A continuación te mostramos las imágenes en 2D y 5D.
En esta imagen, el bebé esta flotando en el líquido amniótico, apoyándose cómodamente en las paredes del saco amniótico. La imagen de perfil del bebé te brinda la oportunidad de apreciar el botón nasal y el pliegue nasal, las mejillas, la boca e incluso una pequeña oreja, ubicada justo un poco por debajo de la posición normal.
La cabeza del bebé todavía es muy grande, casi la mitad del tamaño del cuerpo. Pero ya está ligeramente erguido y se ve un pequeño cuello. En el área del tórax, puedes ver un punto, es el corazón!. Las piernas no son visibles, pero se alcanza a ver el contorno de la mano derecha.
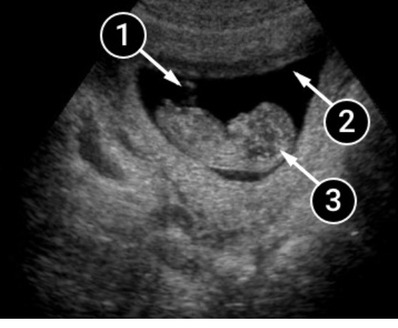
El bebé nada en el líquido amniótico, que se representa en la imagen como un gran contorno oscuro. La espiral es el cordón umbilical que proporciona una conexión estrecha entre la mami y el bebé. La sangre fluye a través de sus vasos conectados con la placenta. Está proporcionando nutrición y oxígeno imprescindible para su desarrollo.
- Cordón umbilical.
- Líquido amniótico
- La cabecita del bebé.
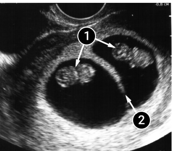
La siguiente foto muestra a dos bebés separados entre sí por un tabique amniótico. Cada uno de los dos pequeños tiene su propia cavidad amniótica y su propio líquido amniótico.
La placenta de ambos es compartida y se encuentra directamente sobre los sacos fetales a lo largo de la pared frontal del útero.
Los cuerpos de los gemelos son claramente visibles, tienen cabezas grandes y cuellos pequeños (completamente normal en esta semana de gestación). En el bebé del lado derecho de la imagen, puedes ver su manita.
- Dos bebés.
- Tabique amniótico.
- Interactive Prenatal Development Timeline. The Endowment for Human Development.
- Hill, M.A. Embryology Neural System Development.
- Fetal development: The 1st trimester. Mayo Clinic.
- Week-by-week guide to pregnancy. Week 9 – your first trimester. NHS – Start4Life.
- Pediatric Diaphragmatic Hernia. Children’s National.
- Rowan K. et al. Corpus luteum across the first trimester: size and laterality as observed by ultrasound. Fertil Steril, 2008 Nov;90(5):1844-7.





