Semana 8 de embarazo. (Sdg8w0d)¡Mami Embarazada!
En la semana 8 de embarazo, hay un rápido desarrollo de manos y pies!! se forman las articulaciones de dedos, manitas y pies, y sus dedos comienzan a separarse entre sí.
El bebé mueve activamente sus manos, las dobla y las extiende!
Todos los órganos y sistemas principales de su cuerpo continúan desarrollándose.
Ya tiene los dos hemisferios cerebrales formados. El cerebro se divide en las tres partes principales.
Respecto a el sistema digestivo, los intestinos comienzan a formarse al igual que el hígado y el páncreas.
Respecto a el sistema respiratorio, el desarrollo de la tráquea procede con la ramificación en bronquios.
Y en cuanto al sistema endocrino, los riñones, las glándulas suprarrenales y los uréteres se desarrollarán más tarde.
¿Qué se puede ver en la ecografía/ultrasonido?
En la ecografía, ya podemos ver cuando el bebé está durmiendo, y cuando está despierto,
puesto que en esta semana exhibe actividad motora, lo que significa que se mueve mucho, brazos, piernas, da saltitos y se gira!
En la primera imagen, se ve claramente un gran óvalo oscuro: una bolsa fetal con un bebé. Estas imágenes son de ecografía 2D, pero en el centro os mostraremos al bebé en ecografía 5D y os explicaremos muy detalladamente en movimiento y en tiempo real que es lo que estamos viendo!

Presta atención a su postura, el bebé se acuesta de espaldas a la pared frontal del útero y se puede apreciar que la espalda del bebé ya está enderezada.
En la etapa actual del embarazo, el sistema óseo del bebé se fortalece y se desarrolla el sistema músculo esquelético. El bebé ya puede doblar los codos, como se puede ver en la imagen, en la cual las pequeñas manitas se encuentran recogidas contra su pecho. Las extremidades superiores aún crecen más rápido que las inferiores.
La cabeza es claramente visible en la imagen. Ahora la cabeza del bebé comienza a redondearse, adquiriendo una forma mas redondita.
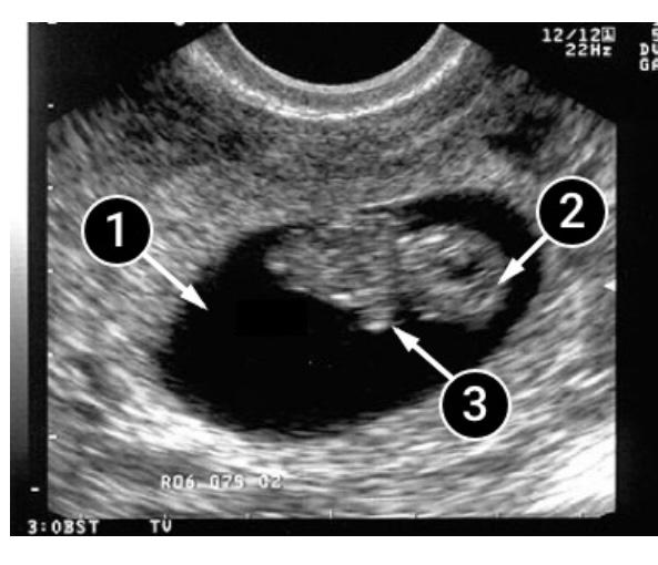
- Saco amniótico.
- Cabeza del bebé.
- Bracito.
La siguiente foto muestra gemelos. En este caso, el septo amniótico está ausente.
Un bebé está claramente visible en la esquina superior izquierda. Un círculo claro y brillante a la izquierda de la cabeza es su saco vitelino personal. Los pequeños brazos están doblados a nivel de los codos.
Uno de los bebés está girado para mirar a su hermanito. En la parte inferior de su cuerpo, el punto redondo negro que ves es su vejiga. El círculo justo encima de él y a la derecha es su propio saco vitelino. Podemos ver La capa endometrial alrededor del saco amniótico común.
- Sacos vitelinos.
- dos embriones
- endometrio




